胰腺炎是什么病(胰腺炎是什么)

首页 » 影视资讯 » 正文

胰腺是什么?

胰腺是人类最强大的消化器官,它分泌的胰液可以消化分解淀粉、脂肪、蛋白质,分别称为胰淀粉酶、胰脂肪酶和胰蛋白酶。

很多人小时候用过胰子(猪胰子),就是基于这种强大的消化分解能力,所产生的去污功效。

很遗憾,越是身居要位的人常常越娇贵,胰腺也没有例外(胰腺还是重要的内分泌器官)。引起胰腺炎的常见原因有胆石症、酒精、高脂血症、自身免疫因素等,此外还有手术、外伤、高钙血症、某些感染等等。

胰腺炎是什么?

胰腺分泌的消化酶在进入小肠前是没有活性的,但上述病因可引起消化酶的激活(引起胰腺组织自身消化),导致胰腺局部炎症,病情较重者可发生全身炎症反应综合征,甚至发生生命危险。
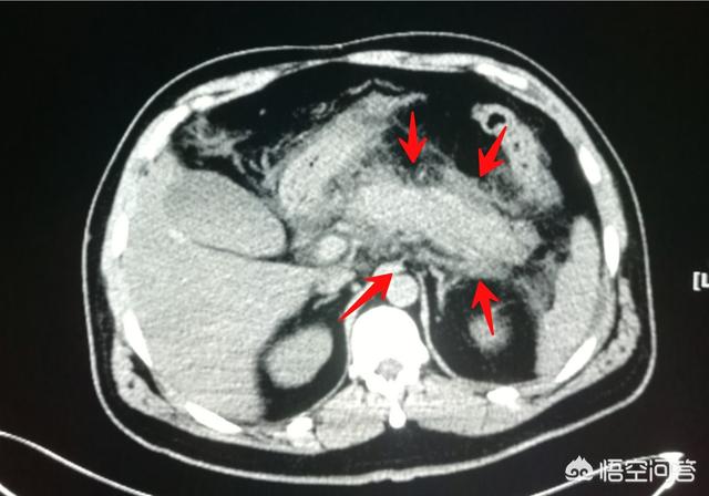
像这位38岁男性患者,参加同学聚会,玩命地喝,第二天就剧烈上腹痛,向后背放射,同时有腹胀和恶心呕吐,急诊CT显示很典型的胰腺炎,体积增大,轮廓毛糙,周围脂肪间隙密度增高,化验检查血清淀粉酶明显升高。

胰腺炎的诊断标准

符合以下3项特征中的2项即可诊断胰腺炎:(1)与胰腺炎相符合的腹痛;(2)血清淀粉酶和(或)脂肪酶活性至少高于正常上限值3倍;(3)腹部影像学检查符合胰腺炎影像学改变。

急性胰腺炎需要紧急入院治疗,甚至小部分患者会持续加重(有一定的死亡率),如果病情迁延,可转为慢性胰腺炎;某些胰腺炎患者一开始就为慢性进程。

上面这位患者比较不错,第9天复查的时候已经显示吸收好转了。他还很不好意思的表示,以后喝酒要节制了,这次赔大发了。

本文来自投稿,不代表本站立场,如若转载,请注明出处:https://www.cxcxb.com/artdetail-42521/
 推荐视频

江湖情仇

汤镇业 林威 沈威 谷峰 何家驹 Ka-Kui Ho 萧玉龙 崔立 张正涌

我非动物

约翰·库萨克 露西拉·索拉 Paul Hipp

玛嘉烈与大卫系列丝丝粤语

廖子妤 陈湛文 傅孟柏 卫诗雅 麦咏楠 何华超 吴启洋 区嘉雯 卢镇业

纳斯卡女士

葆拉·贝尔 圭洛姆·加里尼 爱丽丝·德维尔 玛佳丽·索利埃

金斯敦市长第四季

杰瑞米·雷纳 劳拉·本纳蒂 埃迪·法可 连尼·詹姆斯 妮卡尔·扎德甘 休·狄伦 泰勒·汉德雷 托比·班特法 尼希·穆尼希 约翰·塞纳迭姆博 克莱顿·卡德纳斯 埃迪·J.费尔南德斯 威廉·吉罗拉 欧内斯特·马什 祖瑞·詹姆斯 德里克·里维拉 伊芙琳·卢卡尼什 里克·杜特罗 迈克·安卡斯 托尼·坎波斯

贼探第一季

Raphael Logam Rui Ricardo Diaz Cyria Coentro Leandro Firmino Lorena Comparato

武动乾坤2018

杨洋 张天爱 吴尊 王丽坤 释小龙 柳岩 索笑坤 董晴 唐曾

 用户评论
 正在加载