医生说定期复查就代表没事了吗(医生说的3-7天复查是多久)

首页 » 热门资讯 » 正文

如果你去医院看病,化验检查结果出来以后,医生给您说问题不大,但是需要过段时间以后再来复查。这说明您目前的病情不至于严重影响健康和生命安全,但病情的发展方向尚不明确,需要进一步观察,好明确疾病随着时间的推移是好转了还是加重了。

这样笼统的说可能很抽象,为了加深您的了解,给您举2个临床案例。

1、肺结节

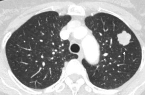
很多人在做体检的时候发现肺部有小结节,至于这个小结节的性质是什么样的,不做病理是不能明确的,而取病理是一个有创的检查,会对病人造成伤害,如果是肺癌的话,取病理还会造成肺癌的播散。再者,病理检查也不是百分之百的正确,它有一定的假阴性率。由于小结节并不会给患者本身带来任何的疼痛和不适,也不会在短时间内危及患者的健康和生命安全,所以这个时候问题不是很大。

为了观察肺部结节的性状,对于初次发现肺部结节的人就需要进行多次的复诊观察,如果结节一直没有长大,那就不用管他。如果结节随着时间的延长逐步的增大,并且性质发生变化,就需要手术处理。

2、心电图T波改变

很多人在做体检的时候,心电图检查结果显示T波改变,这属于一种异常的心电图检查结果,但是他本人并没有任何不适症状,从症状上来说,没有什么大问题。到底有没有心脏疾病呢?这个时候不管是从大夫方面还是从患者本身方面都不好判断。

此时,大夫一般就会叮嘱患者隔段时间之后进行复查,一般人的话,再次复查可能就是一个正常的心电图了。初次检查心电图结果异常,可能是因为情绪紧张,检查前劳累、熬夜等因素引起来的。去除了这些因素,心电图检查结果就正常了。

所以说,去医院看病,医生说问题不大,但是需要复查,代表你目前的化验检查结果有些稍微异常,不至于在短时间内影响身体的健康或者是危及生命。复查的目的是为了进一步观察这些异常结果的发展方向以及对身体健康的影响,请一定要遵医嘱定期复查。

更多健康知识可关注@心电图刘医生

问题不大说明暂时是没有大问题的,但需要复查是怕后期会有病变或是其他,一般情况下来说任何疾病医生都会顺带说一句需要复查。

如果你去医院看病,化验检查结果出来以后,医生给您说问题不大,但是需要过段时间以后再来复查。这说明您目前的病情不至于严重影响健康和生命安全,但病情的发展方向尚不明确,需要进一步观察,好明确疾病随着时间的推移是好转了还是加重了。

这样笼统的说可能很抽象,为了加深您的了解,给您举2个临床案例。

1、肺结节

很多人在做体检的时候发现肺部有小结节,至于这个小结节的性质是什么样的,不做病理是不能明确的,而取病理是一个有创的检查,会对病人造成伤害,如果是肺癌的话,取病理还会造成肺癌的播散。再者,病理检查也不是百分之百的正确,它有一定的假阴性率。由于小结节并不会给患者本身带来任何的疼痛和不适,也不会在短时间内危及患者的健康和生命安全,所以这个时候问题不是很大。

为了观察肺部结节的性状,对于初次发现肺部结节的人就需要进行多次的复诊观察,如果结节一直没有长大,那就不用管他。如果结节随着时间的延长逐步的增大,并且性质发生变化,就需要手术处理。

2、心电图T波改变

很多人在做体检的时候,心电图检查结果显示T波改变,这属于一种异常的心电图检查结果,但是他本人并没有任何不适症状,从症状上来说,没有什么大问题。到底有没有心脏疾病呢?这个时候不管是从大夫方面还是从患者本身方面都不好判断。

此时,大夫一般就会叮嘱患者隔段时间之后进行复查,一般人的话,再次复查可能就是一个正常的心电图了。初次检查心电图结果异常,可能是因为情绪紧张,检查前劳累、熬夜等因素引起来的。去除了这些因素,心电图检查结果就正常了。

所以说,去医院看病,医生说问题不大,但是需要复查,代表你目前的化验检查结果有些稍微异常,不至于在短时间内影响身体的健康或者是危及生命。复查的目的是为了进一步观察这些异常结果的发展方向以及对身体健康的影响,请一定要遵医嘱定期复查。

更多健康知识可关注@心电图刘医生

问题不大说明暂时是没有大问题的,但需要复查是怕后期会有病变或是其他,一般情况下来说任何疾病医生都会顺带说一句需要复查。

如果你去医院看病,化验检查结果出来以后,医生给您说问题不大,但是需要过段时间以后再来复查。这说明您目前的病情不至于严重影响健康和生命安全,但病情的发展方向尚不明确,需要进一步观察,好明确疾病随着时间的推移是好转了还是加重了。

这样笼统的说可能很抽象,为了加深您的了解,给您举2个临床案例。

1、肺结节

很多人在做体检的时候发现肺部有小结节,至于这个小结节的性质是什么样的,不做病理是不能明确的,而取病理是一个有创的检查,会对病人造成伤害,如果是肺癌的话,取病理还会造成肺癌的播散。再者,病理检查也不是百分之百的正确,它有一定的假阴性率。由于小结节并不会给患者本身带来任何的疼痛和不适,也不会在短时间内危及患者的健康和生命安全,所以这个时候问题不是很大。

为了观察肺部结节的性状,对于初次发现肺部结节的人就需要进行多次的复诊观察,如果结节一直没有长大,那就不用管他。如果结节随着时间的延长逐步的增大,并且性质发生变化,就需要手术处理。

2、心电图T波改变

很多人在做体检的时候,心电图检查结果显示T波改变,这属于一种异常的心电图检查结果,但是他本人并没有任何不适症状,从症状上来说,没有什么大问题。到底有没有心脏疾病呢?这个时候不管是从大夫方面还是从患者本身方面都不好判断。

此时,大夫一般就会叮嘱患者隔段时间之后进行复查,一般人的话,再次复查可能就是一个正常的心电图了。初次检查心电图结果异常,可能是因为情绪紧张,检查前劳累、熬夜等因素引起来的。去除了这些因素,心电图检查结果就正常了。

所以说,去医院看病,医生说问题不大,但是需要复查,代表你目前的化验检查结果有些稍微异常,不至于在短时间内影响身体的健康或者是危及生命。复查的目的是为了进一步观察这些异常结果的发展方向以及对身体健康的影响,请一定要遵医嘱定期复查。

更多健康知识可关注@心电图刘医生

这医生明显经验不足,并不是发烧咳嗽引起的肺炎,而是肺炎引起的发烧咳嗽,前期表现不明显,不过在血象都正常的情况下,也应该查找一下原因,孩子怎么会没有什么原因就无缘无故发烧咳嗽呢。

本文来自投稿,不代表本站立场,如若转载,请注明出处:https://www.cxcxb.com/artdetail-59872/
 推荐视频

钻石般的她

路易莎·拉涅瑞 杰丝敏·特丽卡 斯特凡诺·阿科尔西 卢卡·巴尔巴罗萨 萨拉·博西 洛雷达纳·卡纳塔 杰皮·库奇阿里 安娜·费泽蒂 奥罗拉·乔维纳佐 妮可·吉玛多 米莱娜·曼奇尼 维尼乔·马尔基奥尼 葆拉·米纳乔尼 爱多阿多·普尔加托里 卡尔米内·雷卡诺 艾莱娜·索菲亚·里奇 卢妮塔·萨维诺 凡妮莎·斯卡莱拉 卡拉·西格诺里斯 卡夏·斯穆特尼亚克

观世音国语

赵雅芝 任达华 吴君如 刘丹

三星堆里有个村

黄品沅 杨迪 赵海燕 张歆怡 吕昀峰 赵亮 刘仪伟 郑彧垚 毛明睿 庞润宇 张小红 曾晓琴 毛禹俊辰 魏珍珍 紫鸢 侯少见 巫兴义 黄海波 车大全 周帝 湛瑞雪 马永华 卿玉婷 刘期军 温成良 刘诗兵 罗润波 林中述 湛方保 范伦建 魏盛江 王友顺 游洪清 林明举 袁宗俊 余诗海 庄景伟 卿尚军 黄兴利

雷杰普的精彩人生7

沙汗.古克巴卡尔 Öznur Serçeler Irfan Kangi

无名指国语

郭富城   许恩怡   鲍起静   梁咏琪   谭耀文

神鬼猎人:在结冰的路上

Milo Parker Anke Engelke Bastian Pastewka

美少女战士Sailor Stars国语

三石琴乃 久川绫 富泽美智惠 筱原惠美 深见梨加 荒木香惠 石田彰 古川登志夫 古谷彻

朋克 三角

长野凌大   藤林泰也   雏形明子   栗原类   中村純猛   秋谷百音   姫子松柾   大川優羽   鈴木恒守   凜大

穿越时空的少女1994

内田有纪 河相我聞 鈴木蘭々 菅野美穂 山下真希 森本レオ 吉沢京子 安室奈美恵 塚本信夫

手机刑事-钱形舞

堀北真希 山下真司 金刚地武志

 用户评论
 正在加载